Zahnmedizin ist für uns mehr als Technik.
Es geht um Vertrauen, Zeit füreinander
und das gute Gefühl, in den richtigen Händen zu sein.
Das können wir
Vorsorge + Erhalt
Alles, was hilft, Zähne gesund zu halten – möglichst lange und möglichst entspannt.
Reparieren + Ersetzen
Wenn etwas kaputtgeht oder fehlt, finden wir eine passende und langlebige Lösung.
Ästhetik + Feinarbeit
Für alle, die sich mit ihrem Lächeln wieder rundum wohlfühlen möchten.
Vorsorge
Zahnreinigung
Kinderheilkunde
Zahnersatz
Implantate
Prothesen
Kronen
Eigenes Labor
Neuste 3D-Technik
Bleaching
Paradontitis
Beratung
Angstpatienten
Füllungen
Inlays & Onlays
Nachsorge
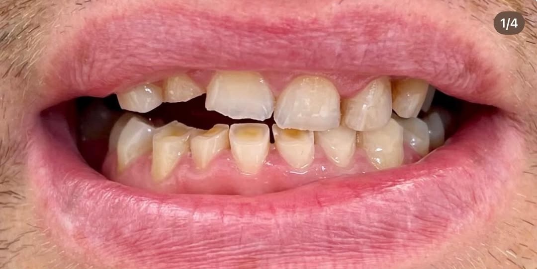
Echte Ergebnisse.
Echte Menschen.
Jeder Fall ist anders.
Und genau so behandeln wir ihn auch.

Bei uns geht es persönlich zu
Als familiengeführte Praxis legen wir Wert auf ein Miteinander auf Augenhöhe.
Wir nehmen uns Zeit, erklären verständlich und behalten auch dann die Ruhe, wenn es mal komplizierter wird.
Einblicke aus unserem Praxisalltag
Zwischen Behandlungsstuhl, Labor und Teamküche.
